亜急性甲状腺炎
亜急性甲状腺炎

「喉のあたりがズキズキ痛む」「風邪のような熱が続いているけれど、薬が効かない」
もし、このような症状でお悩みなら、それは単なる風邪ではなく「亜急性甲状腺炎(あきゅうせいこうじょうせんえん)」かもしれません。
甲状腺の病気は女性に多いイメージがありますが、この病気は痛みが強く、日常生活に支障をきたすことも多いため、正しい知識と早期の治療が不可欠です。
この記事では、亜急性甲状腺炎の症状の特徴、原因、治療法、そして完治までの期間について、最新の知見を交えてわかりやすく解説します。
亜急性甲状腺炎は、その名の通り、甲状腺に炎症が起きる病気です。「急性(化膿性)」と「慢性(橋本病など)」の中間に位置する病態という意味で「亜急性」と呼ばれています。
通常、甲状腺は代謝をコントロールするホルモンを作っています。しかし、この病気になると甲状腺の組織が炎症によって破壊され、貯蔵されていた甲状腺ホルモンが一度に血液中へ漏れ出してしまいます。
これにより、甲状腺がある首の痛みだけでなく、動悸や手の震えといった「甲状腺中毒症」の症状が現れるのが特徴です。
圧倒的に女性に多く、特に30代から50代の働き盛りの女性によく見られます。男性の発症は女性の10分の1程度と言われていますが、決してかからないわけではありません。
亜急性甲状腺炎には、非常に特徴的な症状があります。風邪や扁桃腺炎と間違われやすいため、以下のポイントをセルフチェックしてみてください。
最も特徴的なのが、甲状腺(のどぼとけの下あたり)の痛みです。
37度台の微熱から、38度以上の高熱が出ることまで様々です。風邪薬や抗生物質を飲んでも熱が下がらない場合、この病気が疑われます。
破壊された甲状腺からホルモンが漏れ出るため、一時的に血液中のホルモン濃度が過剰になる『破壊性甲状腺中毒症』という状態になります。
注意点:バセドウ病とは異なり、このホルモン過剰は「一時的」なものです。
「なぜ私がこんな病気に?」と不安になる方も多いでしょう。現時点での医学的な見解を解説します。
はっきりとした原因はまだ完全には解明されていませんが、ウイルス感染(上気道炎など)が関与しているという説が有力です。実際、患者様の多くが、発症の1〜3週間前に「鼻水」や「のどの痛み」といった風邪のような症状を経験しています。
「ストレスが原因ですか?」という質問もよく検索されます。直接的な原因ではありませんが、ストレスや過労で免疫力が低下している時に、ウイルス感染などをきっかけに発症しやすくなる可能性は否定できません。
白血球の血液型と言われるHLA(ヒト白血球抗原)のタイプによって、なりやすい体質があることがわかっています。特に日本人では特定のタイプ(HLA-B35という型)を持つ方が多く、体質的にこの炎症を起こしやすい方がいらっしゃいます。
治療前

治療後

耳鼻咽喉科や内科を受診される方が多いですが、専門は「内分泌代謝科」や「甲状腺専門クリニック」です。
以下の数値を確認します。
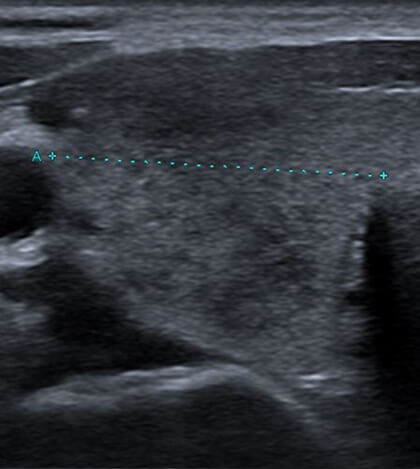
患部が黒っぽく映る「低エコー像」が特徴的です。また、触診で非常に硬いしこりのように触れることがあります(「石のように硬い」と表現されることもあります)。
亜急性甲状腺炎は、適切な治療を行えば必ず治る病気です。しかし、治療期間は数ヶ月に及ぶことがあります。
痛みがそこまで強くない場合は、ロキソニンなどの一般的な痛み止め(抗炎症薬)で炎症を抑えつつ、自然治癒を待ちます。
高熱が出ていたり、痛みが激しくて食事がとれないような場合は、ステロイド薬(プレドニゾロン)を使用します。ステロイドは劇的に効きます。服用した翌日には嘘のように熱が下がり、痛みが消えることが多いです。
【重要】自己判断での中断は厳禁です
症状が消えたからといって急に薬をやめると、高確率で再発します(リバウンド)。医師の指示に従って、症状を見ながら慎重に、数ヶ月(多くは2〜3ヶ月)かけて少しずつ薬の量を減らしていく必要があります。
1
急性期(1〜2ヶ月)
痛みや発熱、ホルモン過剰の症状が出ます。薬で炎症を抑えます。
2
甲状腺機能低下期(その後数ヶ月)
炎症が治まると、壊れた甲状腺が回復するまでの間、一時的にホルモンが不足し必要に応じてホルモン剤を補充します。
3
回復期(半年〜1年)
ほとんどの方は元通りに機能が回復します。まれに永続的な機能低下が残る場合もあります。
治療中の生活で、いくつか注意すべき点があります。
特に発熱や痛みが強い時期は、無理をせず体を休めてください。過度な運動は控えましょう。
甲状腺の病気=ワカメや昆布(ヨウ素)を食べてはいけない、と思われがちですが、亜急性甲状腺炎の急性期においては、厳密な制限は必要ないことがほとんどです。ただし、甲状腺機能の検査(アイソトープ検査など)をする前には制限が必要な場合がありますので、医師の指示に従ってください。
患部は炎症を起こしています。痛みがある部分を揉んだり、強く押したりすることは避けてください。組織の破壊を助長し、ホルモンがさらに漏れ出す恐れがあります。
亜急性甲状腺炎は、急激な痛みと熱で非常に辛い思いをする病気ですが、予後は良好で、癌化することもありません。
重要なポイントを振り返ります。
首の痛みが移動する、薬が効かない発熱。
ウイルス感染などがきっかけで起きる炎症。
ステロイドや痛み止めが有効。自己判断で薬をやめないこと。
完治まで数ヶ月かかるが、焦らず治すことが大切。
「もしかして自分も?」と思ったら、我慢せずに当院を受診してください。
適切な診断と投薬があれば、その辛い痛みから早期に解放されます。
もし現在、首の痛みや発熱がある場合は、当院の予約を入れてください。
受診の際は「首の痛みが移動する」「以前風邪を引いていた」などの特徴的な症状を伝えていただけると、診断がスムーズになります。
当院では、当日のうちに血液検査やエコー検査を行い、迅速に診断をつける体制を整えています。あの激しい痛みから一日も早く解放されるよう、お手伝いいたします。